Digital Database for Screening Mammography

Volume: cancer_09 Case: B-3078-1


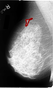
B_3078_1.RIGHT_MLO

B_3078_1.LEFT_MLO

B_3078_1.RIGHT_CC

B_3078_1.LEFT_CC

ics_version 1.0
filename B-3078-1
DATE_OF_STUDY 12 4 1994
PATIENT_AGE 77
FILM
FILM_TYPE REGULAR
DENSITY 4
DATE_DIGITIZED 22 10 1997
DIGITIZER LUMISYS LASER
SEQUENCE
LEFT_CC LINES 4712 PIXELS_PER_LINE 3008 BITS_PER_PIXEL 12 RESOLUTION 50 OVERLAY
LEFT_MLO LINES 4672 PIXELS_PER_LINE 2952 BITS_PER_PIXEL 12 RESOLUTION 50 OVERLAY
RIGHT_CC LINES 4720 PIXELS_PER_LINE 2952 BITS_PER_PIXEL 12 RESOLUTION 50 OVERLAY
RIGHT_MLO LINES 4696 PIXELS_PER_LINE 2848 BITS_PER_PIXEL 12 RESOLUTION 50 OVERLAY

FILE: B_3078_1.LEFT_MLO.OVERLAY

TOTAL_ABNORMALITIES 1
ABNORMALITY 1
LESION_TYPE MASS SHAPE IRREGULAR MARGINS ILL_DEFINED-SPICULATED
ASSESSMENT 4
SUBTLETY 3
PATHOLOGY MALIGNANT
TOTAL_OUTLINES 1 
BOUNDARY
FILE: B_3078_1.RIGHT_MLO.OVERLAY

TOTAL_ABNORMALITIES 1
ABNORMALITY 1
LESION_TYPE MASS SHAPE IRREGULAR-ARCHITECTURAL_DISTORTION MARGINS SPICULATED
ASSESSMENT 3
SUBTLETY 3
PATHOLOGY BENIGN
TOTAL_OUTLINES 1 
BOUNDARY
FILE: B_3078_1.LEFT_CC.OVERLAY

TOTAL_ABNORMALITIES 1
ABNORMALITY 1
LESION_TYPE MASS SHAPE IRREGULAR MARGINS ILL_DEFINED
ASSESSMENT 2
SUBTLETY 2
PATHOLOGY MALIGNANT
TOTAL_OUTLINES 1 
BOUNDARY
FILE: B_3078_1.RIGHT_CC.OVERLAY

TOTAL_ABNORMALITIES 1
ABNORMALITY 1
LESION_TYPE MASS SHAPE IRREGULAR-ARCHITECTURAL_DISTORTION MARGINS SPICULATED
ASSESSMENT 3
SUBTLETY 3
PATHOLOGY BENIGN
TOTAL_OUTLINES 1 
BOUNDARY