Digital Database for Screening Mammography

Volume: cancer_09 Case: B-3401-1


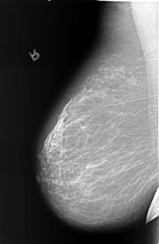
B_3401_1.RIGHT_MLO

B_3401_1.LEFT_MLO

B_3401_1.RIGHT_CC

B_3401_1.LEFT_CC

ics_version 1.0
filename B-3401-1
DATE_OF_STUDY 28 8 1992
PATIENT_AGE 77
FILM
FILM_TYPE REGULAR
DENSITY 2
DATE_DIGITIZED 8 12 1998
DIGITIZER LUMISYS LASER
SEQUENCE
LEFT_CC LINES 5728 PIXELS_PER_LINE 3944 BITS_PER_PIXEL 12 RESOLUTION 50 OVERLAY
LEFT_MLO LINES 5744 PIXELS_PER_LINE 3976 BITS_PER_PIXEL 12 RESOLUTION 50 OVERLAY
RIGHT_CC LINES 5712 PIXELS_PER_LINE 3696 BITS_PER_PIXEL 12 RESOLUTION 50 NON_OVERLAY
RIGHT_MLO LINES 5696 PIXELS_PER_LINE 3704 BITS_PER_PIXEL 12 RESOLUTION 50 NON_OVERLAY

FILE: B_3401_1.LEFT_MLO.OVERLAY

TOTAL_ABNORMALITIES 1
ABNORMALITY 1
LESION_TYPE MASS SHAPE IRREGULAR-ARCHITECTURAL_DISTORTION MARGINS SPICULATED
ASSESSMENT 5
SUBTLETY 5
PATHOLOGY MALIGNANT
TOTAL_OUTLINES 1 
BOUNDARY
FILE: B_3401_1.LEFT_CC.OVERLAY

TOTAL_ABNORMALITIES 1
ABNORMALITY 1
LESION_TYPE MASS SHAPE IRREGULAR-ARCHITECTURAL_DISTORTION MARGINS SPICULATED
ASSESSMENT 5
SUBTLETY 5
PATHOLOGY MALIGNANT
TOTAL_OUTLINES 2 
BOUNDARY