Digital Database for Screening Mammography

Volume: cancer_09 Case: B-3402-1


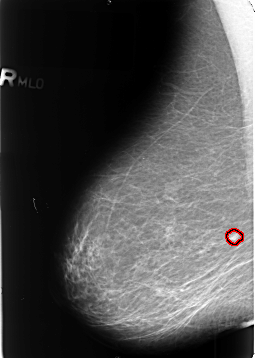
B_3402_1.RIGHT_MLO

B_3402_1.LEFT_MLO

B_3402_1.RIGHT_CC

B_3402_1.LEFT_CC

ics_version 1.0
filename B-3402-1
DATE_OF_STUDY 15 12 1995
PATIENT_AGE 78
FILM
FILM_TYPE REGULAR
DENSITY 1
DATE_DIGITIZED 27 10 1998
DIGITIZER LUMISYS LASER
SEQUENCE
LEFT_CC LINES 4688 PIXELS_PER_LINE 3240 BITS_PER_PIXEL 12 RESOLUTION 50 NON_OVERLAY
LEFT_MLO LINES 4704 PIXELS_PER_LINE 3320 BITS_PER_PIXEL 12 RESOLUTION 50 NON_OVERLAY
RIGHT_CC LINES 4648 PIXELS_PER_LINE 3256 BITS_PER_PIXEL 12 RESOLUTION 50 OVERLAY
RIGHT_MLO LINES 4648 PIXELS_PER_LINE 3304 BITS_PER_PIXEL 12 RESOLUTION 50 OVERLAY

FILE: B_3402_1.RIGHT_MLO.OVERLAY

TOTAL_ABNORMALITIES 1
ABNORMALITY 1
LESION_TYPE MASS SHAPE OVAL MARGINS ILL_DEFINED
ASSESSMENT 4
SUBTLETY 4
PATHOLOGY MALIGNANT
TOTAL_OUTLINES 1 
BOUNDARY
FILE: B_3402_1.RIGHT_CC.OVERLAY

TOTAL_ABNORMALITIES 1
ABNORMALITY 1
LESION_TYPE MASS SHAPE OVAL MARGINS ILL_DEFINED
ASSESSMENT 4
SUBTLETY 3
PATHOLOGY MALIGNANT
TOTAL_OUTLINES 1 
BOUNDARY