Digital Database for Screening Mammography

Volume: cancer_09 Case: B-3406-1


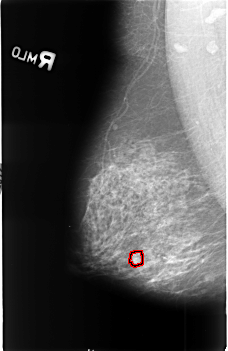
B_3406_1.RIGHT_MLO

B_3406_1.LEFT_MLO

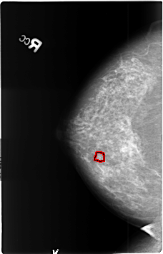
B_3406_1.RIGHT_CC

B_3406_1.LEFT_CC

ics_version 1.0
filename B-3406-1
DATE_OF_STUDY 27 9 1993
PATIENT_AGE 67
FILM
FILM_TYPE REGULAR
DENSITY 3
DATE_DIGITIZED 29 10 1998
DIGITIZER LUMISYS LASER
SEQUENCE
LEFT_CC LINES 4592 PIXELS_PER_LINE 2976 BITS_PER_PIXEL 12 RESOLUTION 50 OVERLAY
LEFT_MLO LINES 4552 PIXELS_PER_LINE 2944 BITS_PER_PIXEL 12 RESOLUTION 50 OVERLAY
RIGHT_CC LINES 4624 PIXELS_PER_LINE 2960 BITS_PER_PIXEL 12 RESOLUTION 50 OVERLAY
RIGHT_MLO LINES 4552 PIXELS_PER_LINE 2952 BITS_PER_PIXEL 12 RESOLUTION 50 OVERLAY

FILE: B_3406_1.LEFT_MLO.OVERLAY

TOTAL_ABNORMALITIES 1
ABNORMALITY 1
LESION_TYPE CALCIFICATION TYPE COARSE DISTRIBUTION N/A
LESION_TYPE MASS SHAPE OVAL MARGINS CIRCUMSCRIBED
ASSESSMENT 2
SUBTLETY 3
PATHOLOGY BENIGN_WITHOUT_CALLBACK
TOTAL_OUTLINES 1 
BOUNDARY
FILE: B_3406_1.RIGHT_MLO.OVERLAY

TOTAL_ABNORMALITIES 1
ABNORMALITY 1
LESION_TYPE CALCIFICATION TYPE PLEOMORPHIC DISTRIBUTION CLUSTERED
ASSESSMENT 4
SUBTLETY 3
PATHOLOGY MALIGNANT
TOTAL_OUTLINES 1 
BOUNDARY
FILE: B_3406_1.LEFT_CC.OVERLAY

TOTAL_ABNORMALITIES 1
ABNORMALITY 1
LESION_TYPE CALCIFICATION TYPE COARSE DISTRIBUTION N/A
LESION_TYPE MASS SHAPE OVAL MARGINS CIRCUMSCRIBED
ASSESSMENT 2
SUBTLETY 3
PATHOLOGY BENIGN_WITHOUT_CALLBACK
TOTAL_OUTLINES 1 
BOUNDARY
FILE: B_3406_1.RIGHT_CC.OVERLAY

TOTAL_ABNORMALITIES 1
ABNORMALITY 1
LESION_TYPE CALCIFICATION TYPE PLEOMORPHIC DISTRIBUTION CLUSTERED
ASSESSMENT 4
SUBTLETY 3
PATHOLOGY MALIGNANT
TOTAL_OUTLINES 1 
BOUNDARY