Digital Database for Screening Mammography

Volume: cancer_09 Case: B-3409-1


B_3409_1.RIGHT_MLO

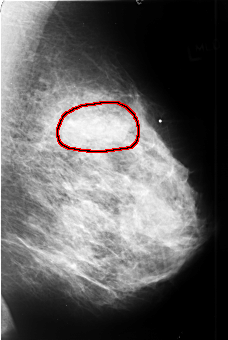
B_3409_1.LEFT_MLO

B_3409_1.RIGHT_CC

B_3409_1.LEFT_CC

ics_version 1.0
filename B-3409-1
DATE_OF_STUDY 16 6 1995
PATIENT_AGE 43
FILM
FILM_TYPE REGULAR
DENSITY 3
DATE_DIGITIZED 30 12 1998
DIGITIZER LUMISYS LASER
SEQUENCE
LEFT_CC LINES 4456 PIXELS_PER_LINE 3000 BITS_PER_PIXEL 12 RESOLUTION 50 OVERLAY
LEFT_MLO LINES 4408 PIXELS_PER_LINE 2960 BITS_PER_PIXEL 12 RESOLUTION 50 OVERLAY
RIGHT_CC LINES 4576 PIXELS_PER_LINE 2944 BITS_PER_PIXEL 12 RESOLUTION 50 NON_OVERLAY
RIGHT_MLO LINES 4544 PIXELS_PER_LINE 2800 BITS_PER_PIXEL 12 RESOLUTION 50 NON_OVERLAY

FILE: B_3409_1.LEFT_MLO.OVERLAY

TOTAL_ABNORMALITIES 1
ABNORMALITY 1
LESION_TYPE MASS SHAPE LOBULATED-IRREGULAR MARGINS OBSCURED-ILL_DEFINED
ASSESSMENT 4
SUBTLETY 4
PATHOLOGY MALIGNANT
TOTAL_OUTLINES 1 
BOUNDARY
FILE: B_3409_1.LEFT_CC.OVERLAY

TOTAL_ABNORMALITIES 1
ABNORMALITY 1
LESION_TYPE MASS SHAPE LOBULATED-IRREGULAR MARGINS OBSCURED-ILL_DEFINED
ASSESSMENT 4
SUBTLETY 4
PATHOLOGY MALIGNANT
TOTAL_OUTLINES 1 
BOUNDARY