Digital Database for Screening Mammography

Volume: HtmlThumbnail Case: A-1570-1


A_1570_1.LEFT_MLO

A_1570_1.RIGHT_MLO

A_1570_1.LEFT_CC

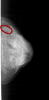
A_1570_1.RIGHT_CC

ics_version 1.0
filename A-1570-1
DATE_OF_STUDY 16 9 1994
PATIENT_AGE 44
FILM
FILM_TYPE REGULAR
DENSITY 4
DATE_DIGITIZED 19 8 1998
DIGITIZER HOWTEK 43.5
SEQUENCE
LEFT_CC LINES 4996 PIXELS_PER_LINE 2476 BITS_PER_PIXEL 12 RESOLUTION 43.5 NON_OVERLAY
LEFT_MLO LINES 5101 PIXELS_PER_LINE 2506 BITS_PER_PIXEL 12 RESOLUTION 43.5 NON_OVERLAY
RIGHT_CC LINES 4801 PIXELS_PER_LINE 2371 BITS_PER_PIXEL 12 RESOLUTION 43.5 OVERLAY
RIGHT_MLO LINES 5146 PIXELS_PER_LINE 2446 BITS_PER_PIXEL 12 RESOLUTION 43.5 OVERLAY

FILE: A_1570_1.RIGHT_MLO.OVERLAY

TOTAL_ABNORMALITIES 1
ABNORMALITY 1 
LESION_TYPE CALCIFICATION TYPE PLEOMORPHIC DISTRIBUTION CLUSTERED
ASSESSMENT 4 
SUBTLETY 1 
PATHOLOGY MALIGNANT
TOTAL_OUTLINES 1 
BOUNDARY
FILE: A_1570_1.RIGHT_CC.OVERLAY

TOTAL_ABNORMALITIES 1
ABNORMALITY 1 
LESION_TYPE CALCIFICATION TYPE PLEOMORPHIC DISTRIBUTION CLUSTERED
ASSESSMENT 4 
SUBTLETY 1 
PATHOLOGY MALIGNANT
TOTAL_OUTLINES 1 
BOUNDARY