![]() |
![]() |
![]() |
![]() |
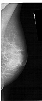
ics_version 1.0 filename A-1591-1 DATE_OF_STUDY 14 8 1990 PATIENT_AGE 52 FILM FILM_TYPE REGULAR DENSITY 4 DATE_DIGITIZED 7 1 1999 DIGITIZER HOWTEK 43.5 SEQUENCE LEFT_CC LINES 5131 PIXELS_PER_LINE 1531 BITS_PER_PIXEL 12 RESOLUTION 43.5 OVERLAY LEFT_MLO LINES 5386 PIXELS_PER_LINE 2011 BITS_PER_PIXEL 12 RESOLUTION 43.5 OVERLAY RIGHT_CC LINES 4651 PIXELS_PER_LINE 2011 BITS_PER_PIXEL 12 RESOLUTION 43.5 NON_OVERLAY RIGHT_MLO LINES 5296 PIXELS_PER_LINE 2206 BITS_PER_PIXEL 12 RESOLUTION 43.5 NON_OVERLAY |
FILE: A_1591_1.LEFT_MLO.OVERLAY TOTAL_ABNORMALITIES 1 ABNORMALITY 1 LESION_TYPE CALCIFICATION TYPE PLEOMORPHIC DISTRIBUTION CLUSTERED ASSESSMENT 4 SUBTLETY 1 PATHOLOGY MALIGNANT TOTAL_OUTLINES 1 BOUNDARY |
FILE: A_1591_1.LEFT_CC.OVERLAY TOTAL_ABNORMALITIES 1 ABNORMALITY 1 LESION_TYPE CALCIFICATION TYPE PLEOMORPHIC DISTRIBUTION CLUSTERED ASSESSMENT 4 SUBTLETY 1 PATHOLOGY MALIGNANT TOTAL_OUTLINES 1 BOUNDARY |