Digital Database for Screening Mammography

Volume: HtmlThumbnail Case: A-1622-1


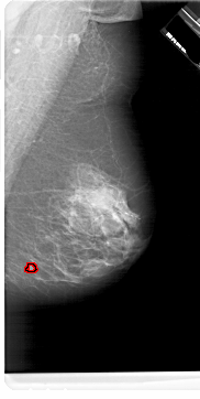
A_1622_1.LEFT_MLO

A_1622_1.RIGHT_MLO

A_1622_1.LEFT_CC

A_1622_1.RIGHT_CC

ics_version 1.0
filename A-1622-1
DATE_OF_STUDY 4 11 1997
PATIENT_AGE 63
FILM
FILM_TYPE REGULAR
DENSITY 3
DATE_DIGITIZED 28 1 1999
DIGITIZER HOWTEK 43.5
SEQUENCE
LEFT_CC LINES 6841 PIXELS_PER_LINE 3301 BITS_PER_PIXEL 12 RESOLUTION 43.5 OVERLAY
LEFT_MLO LINES 6301 PIXELS_PER_LINE 3646 BITS_PER_PIXEL 12 RESOLUTION 43.5 OVERLAY
RIGHT_CC LINES 6481 PIXELS_PER_LINE 3331 BITS_PER_PIXEL 12 RESOLUTION 43.5 OVERLAY
RIGHT_MLO LINES 6871 PIXELS_PER_LINE 3451 BITS_PER_PIXEL 12 RESOLUTION 43.5 OVERLAY

FILE: A_1622_1.LEFT_MLO.OVERLAY

TOTAL_ABNORMALITIES 1
ABNORMALITY 1 
LESION_TYPE MASS SHAPE IRREGULAR MARGINS SPICULATED
ASSESSMENT 5 
SUBTLETY 5 
PATHOLOGY MALIGNANT
TOTAL_OUTLINES 2 
BOUNDARY
	CORE
FILE: A_1622_1.RIGHT_MLO.OVERLAY

TOTAL_ABNORMALITIES 1
ABNORMALITY 1 
LESION_TYPE MASS SHAPE IRREGULAR MARGINS ILL_DEFINED
ASSESSMENT 4 
SUBTLETY 2 
PATHOLOGY MALIGNANT
TOTAL_OUTLINES 1 
BOUNDARY
FILE: A_1622_1.LEFT_CC.OVERLAY

TOTAL_ABNORMALITIES 1
ABNORMALITY 1 
LESION_TYPE MASS SHAPE IRREGULAR MARGINS SPICULATED
ASSESSMENT 5 
SUBTLETY 5 
PATHOLOGY MALIGNANT
TOTAL_OUTLINES 2 
BOUNDARY
	CORE
FILE: A_1622_1.RIGHT_CC.OVERLAY

TOTAL_ABNORMALITIES 1
ABNORMALITY 1 
LESION_TYPE MASS SHAPE IRREGULAR MARGINS ILL_DEFINED
ASSESSMENT 4 
SUBTLETY 2 
PATHOLOGY MALIGNANT
TOTAL_OUTLINES 1 
BOUNDARY