Digital Database for Screening Mammography

Volume: cancer_11 Case: A-1823-1


A_1823_1.LEFT_MLO

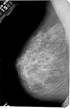
A_1823_1.RIGHT_MLO

A_1823_1.LEFT_CC

A_1823_1.RIGHT_CC

ics_version 1.0
filename A-1823-1
DATE_OF_STUDY 15 5 1995
PATIENT_AGE 66
FILM
FILM_TYPE REGULAR
DENSITY 4
DATE_DIGITIZED 17 7 1998
DIGITIZER HOWTEK 43.5
SEQUENCE
LEFT_CC LINES 5491 PIXELS_PER_LINE 3496 BITS_PER_PIXEL 12 RESOLUTION 43.5 NON_OVERLAY
LEFT_MLO LINES 5491 PIXELS_PER_LINE 3571 BITS_PER_PIXEL 12 RESOLUTION 43.5 NON_OVERLAY
RIGHT_CC LINES 5491 PIXELS_PER_LINE 3241 BITS_PER_PIXEL 12 RESOLUTION 43.5 OVERLAY
RIGHT_MLO LINES 5491 PIXELS_PER_LINE 3436 BITS_PER_PIXEL 12 RESOLUTION 43.5 OVERLAY

FILE: A_1823_1.RIGHT_MLO.OVERLAY

TOTAL_ABNORMALITIES 1
ABNORMALITY 1 
LESION_TYPE MASS SHAPE IRREGULAR MARGINS ILL_DEFINED
ASSESSMENT 4 
SUBTLETY 4 
PATHOLOGY MALIGNANT
TOTAL_OUTLINES 2 
BOUNDARY
	CORE
FILE: A_1823_1.RIGHT_CC.OVERLAY

TOTAL_ABNORMALITIES 1
ABNORMALITY 1 
LESION_TYPE MASS SHAPE IRREGULAR MARGINS ILL_DEFINED
ASSESSMENT 4 
SUBTLETY 4 
PATHOLOGY MALIGNANT
TOTAL_OUTLINES 2 
BOUNDARY
	CORE