Digital Database for Screening Mammography

Volume: cancer_12 Case: D-4114-1


D_4114_1.RIGHT_MLO

D_4114_1.LEFT_MLO

D_4114_1.RIGHT_CC

D_4114_1.LEFT_CC

ics_version 1.0
filename D-4114-1
DATE_OF_STUDY 6 8 1992
PATIENT_AGE 53
FILM
FILM_TYPE REGULAR
DENSITY 3
DATE_DIGITIZED 27 5 1999
DIGITIZER HOWTEK 43.5
SEQUENCE
LEFT_CC LINES 5251 PIXELS_PER_LINE 3061 BITS_PER_PIXEL 12 RESOLUTION 43.5 OVERLAY
LEFT_MLO LINES 5281 PIXELS_PER_LINE 3301 BITS_PER_PIXEL 12 RESOLUTION 43.5 OVERLAY
RIGHT_CC LINES 5311 PIXELS_PER_LINE 3316 BITS_PER_PIXEL 12 RESOLUTION 43.5 NON_OVERLAY
RIGHT_MLO LINES 5341 PIXELS_PER_LINE 3316 BITS_PER_PIXEL 12 RESOLUTION 43.5 NON_OVERLAY

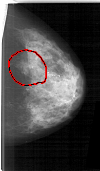
FILE: D_4114_1.LEFT_MLO.OVERLAY

TOTAL_ABNORMALITIES 1
ABNORMALITY 1 
LESION_TYPE MASS SHAPE IRREGULAR MARGINS ILL_DEFINED
ASSESSMENT 3 
SUBTLETY 4 
PATHOLOGY MALIGNANT
TOTAL_OUTLINES 1 
BOUNDARY
FILE: D_4114_1.LEFT_CC.OVERLAY

TOTAL_ABNORMALITIES 1
ABNORMALITY 1 
LESION_TYPE MASS SHAPE IRREGULAR MARGINS ILL_DEFINED
ASSESSMENT 3 
SUBTLETY 4 
PATHOLOGY MALIGNANT
TOTAL_OUTLINES 1 
BOUNDARY