Digital Database for Screening Mammography

Volume: cancer_14 Case: A-1907-1


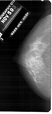
A_1907_1.LEFT_MLO

A_1907_1.RIGHT_MLO

A_1907_1.LEFT_CC

A_1907_1.RIGHT_CC

ics_version 1.0
filename A-1907-1
DATE_OF_STUDY 5 11 1993
PATIENT_AGE 38
FILM
FILM_TYPE REGULAR
DENSITY 4
DATE_DIGITIZED 17 2 1999
DIGITIZER HOWTEK 43.5
SEQUENCE
LEFT_CC LINES 5491 PIXELS_PER_LINE 2506 BITS_PER_PIXEL 12 RESOLUTION 43.5 NON_OVERLAY
LEFT_MLO LINES 5206 PIXELS_PER_LINE 2716 BITS_PER_PIXEL 12 RESOLUTION 43.5 NON_OVERLAY
RIGHT_CC LINES 5281 PIXELS_PER_LINE 2251 BITS_PER_PIXEL 12 RESOLUTION 43.5 OVERLAY
RIGHT_MLO LINES 5101 PIXELS_PER_LINE 2566 BITS_PER_PIXEL 12 RESOLUTION 43.5 OVERLAY

FILE: A_1907_1.RIGHT_MLO.OVERLAY

TOTAL_ABNORMALITIES 1
ABNORMALITY 1 
LESION_TYPE CALCIFICATION TYPE PLEOMORPHIC DISTRIBUTION CLUSTERED
ASSESSMENT 4 
SUBTLETY 2 
PATHOLOGY MALIGNANT
TOTAL_OUTLINES 1 
BOUNDARY
FILE: A_1907_1.RIGHT_CC.OVERLAY

TOTAL_ABNORMALITIES 1
ABNORMALITY 1 
LESION_TYPE CALCIFICATION TYPE PLEOMORPHIC DISTRIBUTION CLUSTERED
ASSESSMENT 4 
SUBTLETY 2 
PATHOLOGY MALIGNANT
TOTAL_OUTLINES 1 
BOUNDARY