Digital Database for Screening Mammography

Volume: cancer_14 Case: A-1908-1


A_1908_1.LEFT_MLO

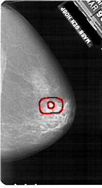
A_1908_1.RIGHT_MLO

A_1908_1.LEFT_CC

A_1908_1.RIGHT_CC

ics_version 1.0
filename A-1908-1
DATE_OF_STUDY 19 3 1996
PATIENT_AGE 48
FILM
FILM_TYPE REGULAR
DENSITY 2
DATE_DIGITIZED 12 3 1999
DIGITIZER HOWTEK 43.5
SEQUENCE
LEFT_CC LINES 5461 PIXELS_PER_LINE 3166 BITS_PER_PIXEL 12 RESOLUTION 43.5 NON_OVERLAY
LEFT_MLO LINES 5491 PIXELS_PER_LINE 3511 BITS_PER_PIXEL 12 RESOLUTION 43.5 NON_OVERLAY
RIGHT_CC LINES 5491 PIXELS_PER_LINE 2971 BITS_PER_PIXEL 12 RESOLUTION 43.5 OVERLAY
RIGHT_MLO LINES 5491 PIXELS_PER_LINE 3286 BITS_PER_PIXEL 12 RESOLUTION 43.5 OVERLAY

FILE: A_1908_1.RIGHT_MLO.OVERLAY

TOTAL_ABNORMALITIES 1
ABNORMALITY 1 
LESION_TYPE MASS SHAPE IRREGULAR MARGINS SPICULATED
ASSESSMENT 5 
SUBTLETY 4 
PATHOLOGY MALIGNANT
TOTAL_OUTLINES 2 
BOUNDARY
	CORE
FILE: A_1908_1.RIGHT_CC.OVERLAY

TOTAL_ABNORMALITIES 1
ABNORMALITY 1 
LESION_TYPE MASS SHAPE IRREGULAR MARGINS SPICULATED
ASSESSMENT 5 
SUBTLETY 4 
PATHOLOGY MALIGNANT
TOTAL_OUTLINES 2 
BOUNDARY
	CORE