Digital Database for Screening Mammography

Volume: cancer_14 Case: A-1930-1


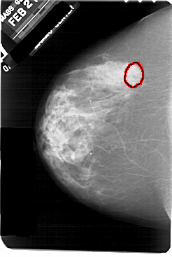
A_1930_1.LEFT_MLO

A_1930_1.RIGHT_MLO

A_1930_1.LEFT_CC

A_1930_1.RIGHT_CC

ics_version 1.0
filename A-1930-1
DATE_OF_STUDY 21 2 1995
PATIENT_AGE 68
FILM
FILM_TYPE REGULAR
DENSITY 4
DATE_DIGITIZED 1 3 1999
DIGITIZER HOWTEK 43.5
SEQUENCE
LEFT_CC LINES 5491 PIXELS_PER_LINE 3676 BITS_PER_PIXEL 12 RESOLUTION 43.5 OVERLAY
LEFT_MLO LINES 5491 PIXELS_PER_LINE 3826 BITS_PER_PIXEL 12 RESOLUTION 43.5 OVERLAY
RIGHT_CC LINES 5131 PIXELS_PER_LINE 3151 BITS_PER_PIXEL 12 RESOLUTION 43.5 NON_OVERLAY
RIGHT_MLO LINES 5491 PIXELS_PER_LINE 3316 BITS_PER_PIXEL 12 RESOLUTION 43.5 NON_OVERLAY

FILE: A_1930_1.LEFT_MLO.OVERLAY

TOTAL_ABNORMALITIES 1
ABNORMALITY 1 
LESION_TYPE CALCIFICATION TYPE PLEOMORPHIC DISTRIBUTION CLUSTERED
ASSESSMENT 4 
SUBTLETY 3 
PATHOLOGY MALIGNANT
TOTAL_OUTLINES 1 
BOUNDARY
FILE: A_1930_1.LEFT_CC.OVERLAY

TOTAL_ABNORMALITIES 1
ABNORMALITY 1 
LESION_TYPE CALCIFICATION TYPE PLEOMORPHIC DISTRIBUTION CLUSTERED
ASSESSMENT 4 
SUBTLETY 3 
PATHOLOGY MALIGNANT
TOTAL_OUTLINES 1 
BOUNDARY