Digital Database for Screening Mammography

Volume: cancer_14 Case: A-1983-1


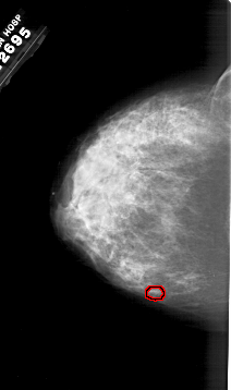
A_1983_1.LEFT_MLO

A_1983_1.RIGHT_MLO

A_1983_1.LEFT_CC

A_1983_1.RIGHT_CC

ics_version 1.0
filename A-1983-1
DATE_OF_STUDY 26 7 1995
PATIENT_AGE 49
FILM
FILM_TYPE REGULAR
DENSITY 4
DATE_DIGITIZED 15 7 1998
DIGITIZER HOWTEK 43.5
SEQUENCE
LEFT_CC LINES 6436 PIXELS_PER_LINE 3811 BITS_PER_PIXEL 12 RESOLUTION 43.5 OVERLAY
LEFT_MLO LINES 6421 PIXELS_PER_LINE 3886 BITS_PER_PIXEL 12 RESOLUTION 43.5 OVERLAY
RIGHT_CC LINES 6481 PIXELS_PER_LINE 3856 BITS_PER_PIXEL 12 RESOLUTION 43.5 NON_OVERLAY
RIGHT_MLO LINES 6256 PIXELS_PER_LINE 3796 BITS_PER_PIXEL 12 RESOLUTION 43.5 NON_OVERLAY

FILE: A_1983_1.LEFT_MLO.OVERLAY

TOTAL_ABNORMALITIES 1
ABNORMALITY 1 
LESION_TYPE CALCIFICATION TYPE PUNCTATE DISTRIBUTION CLUSTERED
ASSESSMENT 4 
SUBTLETY 1 
PATHOLOGY MALIGNANT
TOTAL_OUTLINES 1 
BOUNDARY
FILE: A_1983_1.LEFT_CC.OVERLAY

TOTAL_ABNORMALITIES 1
ABNORMALITY 1 
LESION_TYPE CALCIFICATION TYPE PUNCTATE DISTRIBUTION CLUSTERED
ASSESSMENT 4 
SUBTLETY 1 
PATHOLOGY MALIGNANT
TOTAL_OUTLINES 1 
BOUNDARY