Digital Database for Screening Mammography

Volume: cancer_15 Case: C-0095-1


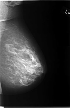
C_0095_1.RIGHT_MLO

C_0095_1.LEFT_MLO

C_0095_1.RIGHT_CC

C_0095_1.LEFT_CC

ics_version 1.0
filename C-0095-1
DATE_OF_STUDY 18 12 92
PATIENT_AGE 60
FILM
FILM_TYPE REGULAR
DENSITY 2
DATE_DIGITIZED 4 12 1997
DIGITIZER LUMISYS LASER
SEQUENCE
LEFT_CC LINES 5960 PIXELS_PER_LINE 3568 BITS_PER_PIXEL 12 RESOLUTION 50 NON_OVERLAY
LEFT_MLO LINES 5880 PIXELS_PER_LINE 3816 BITS_PER_PIXEL 12 RESOLUTION 50 NON_OVERLAY
RIGHT_CC LINES 5888 PIXELS_PER_LINE 3544 BITS_PER_PIXEL 12 RESOLUTION 50 OVERLAY
RIGHT_MLO LINES 5904 PIXELS_PER_LINE 3600 BITS_PER_PIXEL 12 RESOLUTION 50 OVERLAY

FILE: C_0095_1.RIGHT_MLO.OVERLAY

TOTAL_ABNORMALITIES 1
ABNORMALITY 1
LESION_TYPE MASS SHAPE IRREGULAR MARGINS SPICULATED
ASSESSMENT 4
SUBTLETY 4
PATHOLOGY MALIGNANT
TOTAL_OUTLINES 1 
BOUNDARY
FILE: C_0095_1.RIGHT_CC.OVERLAY

TOTAL_ABNORMALITIES 1
ABNORMALITY 1
LESION_TYPE MASS SHAPE IRREGULAR MARGINS SPICULATED
ASSESSMENT 4
SUBTLETY 3
PATHOLOGY MALIGNANT
TOTAL_OUTLINES 1 
BOUNDARY