Digital Database for Screening Mammography

Volume: cancer_15 Case: C-0339-1


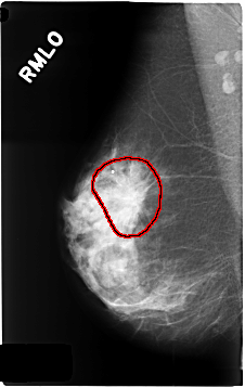
C_0339_1.RIGHT_MLO

C_0339_1.LEFT_MLO

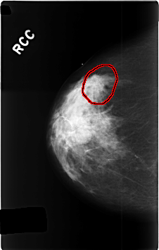
C_0339_1.RIGHT_CC

C_0339_1.LEFT_CC

ics_version 1.0
filename C-0339-1
DATE_OF_STUDY 11 6 1997
PATIENT_AGE 44
FILM
FILM_TYPE REGULAR
DENSITY 3
DATE_DIGITIZED 17 12 1998
DIGITIZER LUMISYS LASER
SEQUENCE
LEFT_CC LINES 4616 PIXELS_PER_LINE 2952 BITS_PER_PIXEL 12 RESOLUTION 50 NON_OVERLAY
LEFT_MLO LINES 4592 PIXELS_PER_LINE 2920 BITS_PER_PIXEL 12 RESOLUTION 50 NON_OVERLAY
RIGHT_CC LINES 4608 PIXELS_PER_LINE 2936 BITS_PER_PIXEL 12 RESOLUTION 50 OVERLAY
RIGHT_MLO LINES 4640 PIXELS_PER_LINE 2928 BITS_PER_PIXEL 12 RESOLUTION 50 OVERLAY

FILE: C_0339_1.RIGHT_MLO.OVERLAY

TOTAL_ABNORMALITIES 1
ABNORMALITY 1
LESION_TYPE MASS SHAPE IRREGULAR MARGINS SPICULATED
ASSESSMENT 5
SUBTLETY 5
PATHOLOGY MALIGNANT
TOTAL_OUTLINES 1 
BOUNDARY
FILE: C_0339_1.RIGHT_CC.OVERLAY

TOTAL_ABNORMALITIES 1
ABNORMALITY 1
LESION_TYPE MASS SHAPE ROUND MARGINS SPICULATED
ASSESSMENT 5
SUBTLETY 5
PATHOLOGY MALIGNANT
TOTAL_OUTLINES 1 
BOUNDARY