Digital Database for Screening Mammography

Volume: cancer_15 Case: C-0471-1


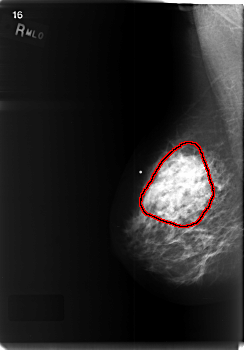
C_0471_1.RIGHT_MLO

C_0471_1.LEFT_MLO

C_0471_1.RIGHT_CC

C_0471_1.LEFT_CC

ics_version 1.0
filename C-0471-1
DATE_OF_STUDY 8 9 1997
PATIENT_AGE 48
FILM
FILM_TYPE REGULAR
DENSITY 2
DATE_DIGITIZED 28 12 1998
DIGITIZER LUMISYS LASER
SEQUENCE
LEFT_CC LINES 5696 PIXELS_PER_LINE 3520 BITS_PER_PIXEL 12 RESOLUTION 50 NON_OVERLAY
LEFT_MLO LINES 5416 PIXELS_PER_LINE 4112 BITS_PER_PIXEL 12 RESOLUTION 50 NON_OVERLAY
RIGHT_CC LINES 5768 PIXELS_PER_LINE 4056 BITS_PER_PIXEL 12 RESOLUTION 50 OVERLAY
RIGHT_MLO LINES 5936 PIXELS_PER_LINE 4168 BITS_PER_PIXEL 12 RESOLUTION 50 OVERLAY

FILE: C_0471_1.RIGHT_MLO.OVERLAY

TOTAL_ABNORMALITIES 1
ABNORMALITY 1
LESION_TYPE MASS SHAPE ASYMMETRIC_BREAST_TISSUE MARGINS ILL_DEFINED
ASSESSMENT 5
SUBTLETY 5
PATHOLOGY MALIGNANT
TOTAL_OUTLINES 1 
BOUNDARY
FILE: C_0471_1.RIGHT_CC.OVERLAY

TOTAL_ABNORMALITIES 1
ABNORMALITY 1
LESION_TYPE MASS SHAPE ASYMMETRIC_BREAST_TISSUE MARGINS ILL_DEFINED
ASSESSMENT 5
SUBTLETY 5
PATHOLOGY MALIGNANT
TOTAL_OUTLINES 1 
BOUNDARY