Digital Database for Screening Mammography

Volume: cancer_15 Case: B-3039-1


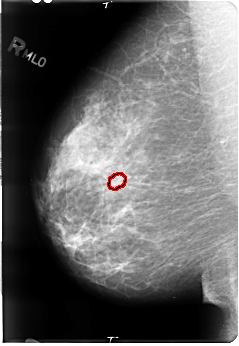
B_3039_1.RIGHT_MLO

B_3039_1.LEFT_MLO

B_3039_1.RIGHT_CC

B_3039_1.LEFT_CC

ics_version 1.0
filename B-3039-1
DATE_OF_STUDY 1 4 1996
PATIENT_AGE 49
FILM
FILM_TYPE REGULAR
DENSITY 3
DATE_DIGITIZED 8 25 1997
DIGITIZER LUMISYS LASER
SEQUENCE
LEFT_CC LINES 4592 PIXELS_PER_LINE 3088 BITS_PER_PIXEL 12 RESOLUTION 50 OVERLAY
LEFT_MLO LINES 4824 PIXELS_PER_LINE 3328 BITS_PER_PIXEL 12 RESOLUTION 50 OVERLAY
RIGHT_CC LINES 4624 PIXELS_PER_LINE 3080 BITS_PER_PIXEL 12 RESOLUTION 50 OVERLAY
RIGHT_MLO LINES 4832 PIXELS_PER_LINE 3344 BITS_PER_PIXEL 12 RESOLUTION 50 OVERLAY

FILE: B_3039_1.LEFT_MLO.OVERLAY

TOTAL_ABNORMALITIES 1
ABNORMALITY 1
LESION_TYPE CALCIFICATION TYPE PLEOMORPHIC DISTRIBUTION SEGMENTAL
ASSESSMENT 4
SUBTLETY 3
PATHOLOGY MALIGNANT
TOTAL_OUTLINES 1 
BOUNDARY
FILE: B_3039_1.RIGHT_MLO.OVERLAY

TOTAL_ABNORMALITIES 1
ABNORMALITY 1
LESION_TYPE MASS SHAPE OVAL MARGINS CIRCUMSCRIBED
ASSESSMENT 3
SUBTLETY 3
PATHOLOGY UNPROVEN
TOTAL_OUTLINES 1 
BOUNDARY
FILE: B_3039_1.LEFT_CC.OVERLAY

TOTAL_ABNORMALITIES 1
ABNORMALITY 1
LESION_TYPE CALCIFICATION TYPE PLEOMORPHIC DISTRIBUTION SEGMENTAL
ASSESSMENT 4
SUBTLETY 3
PATHOLOGY MALIGNANT
TOTAL_OUTLINES 1 
BOUNDARY
FILE: B_3039_1.RIGHT_CC.OVERLAY

TOTAL_ABNORMALITIES 1
ABNORMALITY 1
LESION_TYPE MASS SHAPE OVAL MARGINS CIRCUMSCRIBED
ASSESSMENT 3
SUBTLETY 3
PATHOLOGY UNPROVEN
TOTAL_OUTLINES 1 
BOUNDARY