Digital Database for Screening Mammography

Volume: cancer_15 Case: B-3043-1


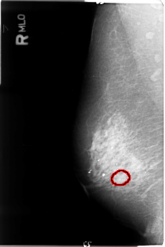
B_3043_1.RIGHT_MLO

B_3043_1.LEFT_MLO

B_3043_1.RIGHT_CC

B_3043_1.LEFT_CC

ics_version 1.0
filename B-3043-1
DATE_OF_STUDY 3 12 1996
PATIENT_AGE 68
FILM
FILM_TYPE REGULAR
DENSITY 3
DATE_DIGITIZED 8 20 1997
DIGITIZER LUMISYS 
SEQUENCE
LEFT_CC LINES 4640 PIXELS_PER_LINE 3112 BITS_PER_PIXEL 12 RESOLUTION 50 OVERLAY
LEFT_MLO LINES 4680 PIXELS_PER_LINE 3120 BITS_PER_PIXEL 12 RESOLUTION 50 OVERLAY
RIGHT_CC LINES 4656 PIXELS_PER_LINE 3120 BITS_PER_PIXEL 12 RESOLUTION 50 OVERLAY
RIGHT_MLO LINES 4680 PIXELS_PER_LINE 3120 BITS_PER_PIXEL 12 RESOLUTION 50 OVERLAY

FILE: B_3043_1.LEFT_MLO.OVERLAY

TOTAL_ABNORMALITIES 2
ABNORMALITY 1
LESION_TYPE CALCIFICATION TYPE PLEOMORPHIC-FINE_LINEAR_BRANCHING DISTRIBUTION CLUSTERED-LINEAR
ASSESSMENT 4
SUBTLETY 3
PATHOLOGY MALIGNANT
TOTAL_OUTLINES 1 
BOUNDARY
ABNORMALITY 2
LESION_TYPE MASS SHAPE ROUND MARGINS CIRCUMSCRIBED
ASSESSMENT 3
SUBTLETY 3
PATHOLOGY BENIGN
TOTAL_OUTLINES 1 
BOUNDARY
FILE: B_3043_1.RIGHT_MLO.OVERLAY

TOTAL_ABNORMALITIES 1
ABNORMALITY 1
LESION_TYPE MASS SHAPE OVAL MARGINS CIRCUMSCRIBED-OBSCURED
ASSESSMENT 3
SUBTLETY 3
PATHOLOGY UNPROVEN
TOTAL_OUTLINES 1 
BOUNDARY
FILE: B_3043_1.LEFT_CC.OVERLAY

TOTAL_ABNORMALITIES 2
ABNORMALITY 1
LESION_TYPE MASS SHAPE ROUND MARGINS CIRCUMSCRIBED
ASSESSMENT 3
SUBTLETY 3
PATHOLOGY BENIGN
TOTAL_OUTLINES 1 
BOUNDARY
ABNORMALITY 2
LESION_TYPE CALCIFICATION TYPE PLEOMORPHIC-FINE_LINEAR_BRANCHING DISTRIBUTION CLUSTERED-LINEAR
ASSESSMENT 4
SUBTLETY 3
PATHOLOGY MALIGNANT
TOTAL_OUTLINES 1 
BOUNDARY
FILE: B_3043_1.RIGHT_CC.OVERLAY

TOTAL_ABNORMALITIES 2
ABNORMALITY 1
LESION_TYPE CALCIFICATION TYPE PUNCTATE-PLEOMORPHIC DISTRIBUTION CLUSTERED
ASSESSMENT 4
SUBTLETY 3
PATHOLOGY UNPROVEN
TOTAL_OUTLINES 1 
BOUNDARY
ABNORMALITY 2
LESION_TYPE MASS SHAPE OVAL MARGINS CIRCUMSCRIBED-OBSCURED
ASSESSMENT 3
SUBTLETY 3
PATHOLOGY UNPROVEN
TOTAL_OUTLINES 1 
BOUNDARY