Digital Database for Screening Mammography

Volume: cancer_15 Case: B-3048-1


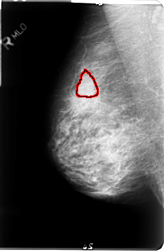
B_3048_1.RIGHT_MLO

B_3048_1.LEFT_MLO

B_3048_1.RIGHT_CC

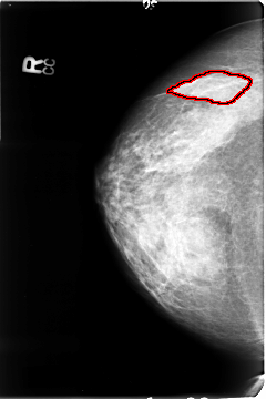
B_3048_1.LEFT_CC

ics_version 1.0
filename B-3048-1
DATE_OF_STUDY 1 10 1996
PATIENT_AGE 78
FILM
FILM_TYPE REGULAR
DENSITY 4
DATE_DIGITIZED 8 25 1997
DIGITIZER LUMISYS LASER_DENSOTOMETER
SEQUENCE
LEFT_CC LINES 4752 PIXELS_PER_LINE 3040 BITS_PER_PIXEL 12 RESOLUTION 50 OVERLAY
LEFT_MLO LINES 4704 PIXELS_PER_LINE 3120 BITS_PER_PIXEL 12 RESOLUTION 50 OVERLAY
RIGHT_CC LINES 4680 PIXELS_PER_LINE 3120 BITS_PER_PIXEL 12 RESOLUTION 50 OVERLAY
RIGHT_MLO LINES 4768 PIXELS_PER_LINE 3104 BITS_PER_PIXEL 12 RESOLUTION 50 OVERLAY

FILE: B_3048_1.LEFT_MLO.OVERLAY

TOTAL_ABNORMALITIES 1
ABNORMALITY 1
LESION_TYPE MASS SHAPE IRREGULAR-ARCHITECTURAL_DISTORTION MARGINS ILL_DEFINED-SPICULATED
ASSESSMENT 4
SUBTLETY 4
PATHOLOGY MALIGNANT
TOTAL_OUTLINES 1 
BOUNDARY
FILE: B_3048_1.RIGHT_MLO.OVERLAY

TOTAL_ABNORMALITIES 1
ABNORMALITY 1
LESION_TYPE MASS SHAPE LOBULATED MARGINS CIRCUMSCRIBED-OBSCURED
ASSESSMENT 3
SUBTLETY 3
PATHOLOGY UNPROVEN
TOTAL_OUTLINES 1 
BOUNDARY
FILE: B_3048_1.LEFT_CC.OVERLAY

TOTAL_ABNORMALITIES 1
ABNORMALITY 1
LESION_TYPE MASS SHAPE IRREGULAR-ARCHITECTURAL_DISTORTION MARGINS ILL_DEFINED-SPICULATED
ASSESSMENT 4
SUBTLETY 4
PATHOLOGY MALIGNANT
TOTAL_OUTLINES 1 
BOUNDARY
FILE: B_3048_1.RIGHT_CC.OVERLAY

TOTAL_ABNORMALITIES 1
ABNORMALITY 1
LESION_TYPE MASS SHAPE LOBULATED MARGINS CIRCUMSCRIBED-OBSCURED
ASSESSMENT 3
SUBTLETY 3
PATHOLOGY UNPROVEN
TOTAL_OUTLINES 1 
BOUNDARY