Digital Database for Screening Mammography

Volume: cancer_15 Case: B-3135-1


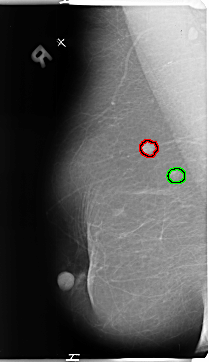
B_3135_1.RIGHT_MLO

B_3135_1.LEFT_MLO

B_3135_1.RIGHT_CC

B_3135_1.LEFT_CC

ics_version 1.0
filename B-3135-1
DATE_OF_STUDY 10 12 1991
PATIENT_AGE 81
FILM
FILM_TYPE REGULAR
DENSITY 1
DATE_DIGITIZED 16 4 1998
DIGITIZER LUMISYS LASER
SEQUENCE
LEFT_CC LINES 4720 PIXELS_PER_LINE 2712 BITS_PER_PIXEL 12 RESOLUTION 50 NON_OVERLAY
LEFT_MLO LINES 4752 PIXELS_PER_LINE 2872 BITS_PER_PIXEL 12 RESOLUTION 50 NON_OVERLAY
RIGHT_CC LINES 4736 PIXELS_PER_LINE 2680 BITS_PER_PIXEL 12 RESOLUTION 50 OVERLAY
RIGHT_MLO LINES 4696 PIXELS_PER_LINE 2712 BITS_PER_PIXEL 12 RESOLUTION 50 OVERLAY

FILE: B_3135_1.RIGHT_MLO.OVERLAY

TOTAL_ABNORMALITIES 2
ABNORMALITY 1
LESION_TYPE MASS SHAPE IRREGULAR MARGINS SPICULATED
ASSESSMENT 4
SUBTLETY 5
PATHOLOGY MALIGNANT
TOTAL_OUTLINES 1 
BOUNDARY
ABNORMALITY 2
LESION_TYPE MASS SHAPE IRREGULAR MARGINS ILL_DEFINED
ASSESSMENT 4
SUBTLETY 4
PATHOLOGY UNPROVEN
TOTAL_OUTLINES 1 
BOUNDARY
FILE: B_3135_1.RIGHT_CC.OVERLAY

TOTAL_ABNORMALITIES 2
ABNORMALITY 1
LESION_TYPE MASS SHAPE IRREGULAR MARGINS SPICULATED
ASSESSMENT 4
SUBTLETY 5
PATHOLOGY MALIGNANT
TOTAL_OUTLINES 1 
BOUNDARY
ABNORMALITY 2
LESION_TYPE MASS SHAPE IRREGULAR MARGINS ILL_DEFINED
ASSESSMENT 4
SUBTLETY 4
PATHOLOGY UNPROVEN
TOTAL_OUTLINES 1 
BOUNDARY