Digital Database for Screening Mammography

Volume: cancer_15 Case: B-3515-1


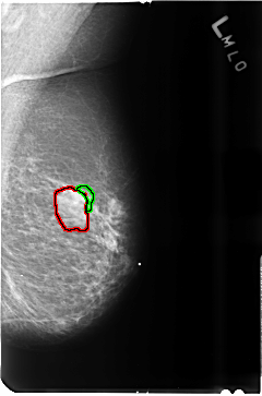
B_3515_1.RIGHT_MLO

B_3515_1.LEFT_MLO

B_3515_1.RIGHT_CC

B_3515_1.LEFT_CC

ics_version 1.0
filename B-3515-1
DATE_OF_STUDY 5 5 98
PATIENT_AGE 79
FILM
FILM_TYPE REGULAR
DENSITY 2
DATE_DIGITIZED 18 6 1999
DIGITIZER LUMISYS LASER
SEQUENCE
LEFT_CC LINES 4696 PIXELS_PER_LINE 3096 BITS_PER_PIXEL 12 RESOLUTION 50 OVERLAY
LEFT_MLO LINES 4712 PIXELS_PER_LINE 3120 BITS_PER_PIXEL 12 RESOLUTION 50 OVERLAY
RIGHT_CC LINES 4728 PIXELS_PER_LINE 3112 BITS_PER_PIXEL 12 RESOLUTION 50 OVERLAY
RIGHT_MLO LINES 4688 PIXELS_PER_LINE 3120 BITS_PER_PIXEL 12 RESOLUTION 50 OVERLAY

FILE: B_3515_1.LEFT_MLO.OVERLAY

TOTAL_ABNORMALITIES 2
ABNORMALITY 1
LESION_TYPE MASS SHAPE ROUND-OVAL MARGINS CIRCUMSCRIBED-OBSCURED
ASSESSMENT 4
SUBTLETY 4
PATHOLOGY BENIGN
TOTAL_OUTLINES 1 
BOUNDARY
ABNORMALITY 2
LESION_TYPE MASS SHAPE ROUND-OVAL MARGINS CIRCUMSCRIBED-OBSCURED
ASSESSMENT 4
SUBTLETY 4
PATHOLOGY BENIGN
TOTAL_OUTLINES 1 
BOUNDARY
FILE: B_3515_1.RIGHT_MLO.OVERLAY

TOTAL_ABNORMALITIES 2
ABNORMALITY 1
LESION_TYPE MASS SHAPE N/A MARGINS N/A
ASSESSMENT 0
SUBTLETY 0
PATHOLOGY BENIGN
TOTAL_OUTLINES 1 
BOUNDARY
ABNORMALITY 2
LESION_TYPE CALCIFICATION TYPE PLEOMORPHIC DISTRIBUTION CLUSTERED
ASSESSMENT 4
SUBTLETY 3
PATHOLOGY MALIGNANT
TOTAL_OUTLINES 1 
BOUNDARY
FILE: B_3515_1.LEFT_CC.OVERLAY

TOTAL_ABNORMALITIES 2
ABNORMALITY 1
LESION_TYPE MASS SHAPE ROUND-OVAL MARGINS CIRCUMSCRIBED-OBSCURED
ASSESSMENT 4
SUBTLETY 5
PATHOLOGY BENIGN
TOTAL_OUTLINES 1 
BOUNDARY
ABNORMALITY 2
LESION_TYPE MASS SHAPE ROUND-OVAL MARGINS CIRCUMSCRIBED-OBSCURED
ASSESSMENT 4
SUBTLETY 5
PATHOLOGY BENIGN
TOTAL_OUTLINES 1 
BOUNDARY
FILE: B_3515_1.RIGHT_CC.OVERLAY

TOTAL_ABNORMALITIES 2
ABNORMALITY 1
LESION_TYPE MASS SHAPE N/A MARGINS N/A
ASSESSMENT 0
SUBTLETY 0
PATHOLOGY BENIGN
TOTAL_OUTLINES 1 
BOUNDARY
ABNORMALITY 2
LESION_TYPE CALCIFICATION TYPE PLEOMORPHIC DISTRIBUTION CLUSTERED
ASSESSMENT 4
SUBTLETY 3
PATHOLOGY MALIGNANT
TOTAL_OUTLINES 1 
BOUNDARY