Digital Database for Screening Mammography

Volume: normal_01 Case: A-0014-1


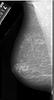
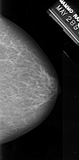
A_0014_1.LEFT_MLO

A_0014_1.RIGHT_MLO

A_0014_1.LEFT_CC

A_0014_1.RIGHT_CC

ics_version 1.0
filename A-0014-1
DATE_OF_STUDY 28 5 1991
PATIENT_AGE 73
FILM
FILM_TYPE REGULAR
DENSITY 4
DATE_DIGITIZED 29 9 1995
DIGITIZER DBA 21

LEFT_CC LINES 5609 PIXELS_PER_LINE 4109 BITS_PER_PIXEL 16 RESOLUTION 42 NON_OVERLAY
LEFT_MLO LINES 5459 PIXELS_PER_LINE 2969 BITS_PER_PIXEL 16 RESOLUTION 42 NON_OVERLAY
RIGHT_CC LINES 5174 PIXELS_PER_LINE 2549 BITS_PER_PIXEL 16 RESOLUTION 42 NON_OVERLAY
RIGHT_MLO LINES 5624 PIXELS_PER_LINE 2864 BITS_PER_PIXEL 16 RESOLUTION 42 NON_OVERLAY