Digital Database for Screening Mammography

Volume: normal_01 Case: A-0052-1


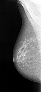
A_0052_1.LEFT_MLO

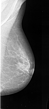
A_0052_1.RIGHT_MLO

A_0052_1.LEFT_CC

A_0052_1.RIGHT_CC

ics_version 1.0
filename A-0052-1
DATE_OF_STUDY 25 1 1991
PATIENT_AGE 63
FILM
FILM_TYPE REGULAR
DENSITY 2
DATE_DIGITIZED 15 2 1996
DIGITIZER DBA 21

LEFT_CC LINES 5009 PIXELS_PER_LINE 2429 BITS_PER_PIXEL 16 RESOLUTION 42 NON_OVERLAY
LEFT_MLO LINES 5474 PIXELS_PER_LINE 2429 BITS_PER_PIXEL 16 RESOLUTION 42 NON_OVERLAY
RIGHT_CC LINES 5459 PIXELS_PER_LINE 4199 BITS_PER_PIXEL 16 RESOLUTION 42 NON_OVERLAY
RIGHT_MLO LINES 5444 PIXELS_PER_LINE 2474 BITS_PER_PIXEL 16 RESOLUTION 42 NON_OVERLAY