Digital Database for Screening Mammography

Volume: normal_02 Case: A-0206-1


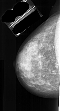
A_0206_1.LEFT_MLO

A_0206_1.RIGHT_MLO

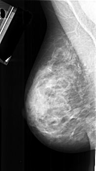
A_0206_1.LEFT_CC

A_0206_1.RIGHT_CC

ics_version 1.0
filename A-0206-1
DATE_OF_STUDY 8 5 1991
PATIENT_AGE 55
FILM
FILM_TYPE REGULAR
DENSITY 3
DATE_DIGITIZED 5 6 1996
DIGITIZER DBA 21
SEQUENCE
LEFT_CC LINES 5086 PIXELS_PER_LINE 2791 BITS_PER_PIXEL 16 RESOLUTION 42 NON_OVERLAY
LEFT_MLO LINES 4891 PIXELS_PER_LINE 2746 BITS_PER_PIXEL 16 RESOLUTION 42 NON_OVERLAY
RIGHT_CC LINES 4906 PIXELS_PER_LINE 2626 BITS_PER_PIXEL 16 RESOLUTION 42 NON_OVERLAY
RIGHT_MLO LINES 5161 PIXELS_PER_LINE 2716 BITS_PER_PIXEL 16 RESOLUTION 42 NON_OVERLAY