Digital Database for Screening Mammography

Volume: normal_02 Case: A-0211-1


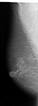
A_0211_1.LEFT_MLO

A_0211_1.RIGHT_MLO

A_0211_1.LEFT_CC

A_0211_1.RIGHT_CC

ics_version 1.0
filename A-0211-1
DATE_OF_STUDY 14 3 1991
PATIENT_AGE 66
FILM
FILM_TYPE REGULAR
DENSITY 2
DATE_DIGITIZED 6 6 1996
DIGITIZER DBA 21
SEQUENCE
LEFT_CC LINES 4876 PIXELS_PER_LINE 1936 BITS_PER_PIXEL 16 RESOLUTION 42 NON_OVERLAY
LEFT_MLO LINES 5416 PIXELS_PER_LINE 1936 BITS_PER_PIXEL 16 RESOLUTION 42 NON_OVERLAY
RIGHT_CC LINES 4426 PIXELS_PER_LINE 1756 BITS_PER_PIXEL 16 RESOLUTION 42 NON_OVERLAY
RIGHT_MLO LINES 5146 PIXELS_PER_LINE 2146 BITS_PER_PIXEL 16 RESOLUTION 42 NON_OVERLAY