Digital Database for Screening Mammography

Volume: normal_02 Case: A-0295-1


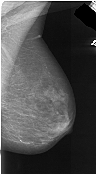
A_0295_1.LEFT_MLO

A_0295_1.RIGHT_MLO

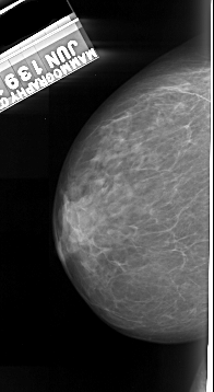
A_0295_1.LEFT_CC

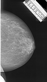
A_0295_1.RIGHT_CC

ics_version 1.0
filename A-0295-1
DATE_OF_STUDY 13 6 1991
PATIENT_AGE 78
FILM
FILM_TYPE REGULAR
DENSITY 2
DATE_DIGITIZED 5 9 1996
DIGITIZER DBA 21
SEQUENCE
LEFT_CC LINES 5011 PIXELS_PER_LINE 2731 BITS_PER_PIXEL 16 RESOLUTION 42 NON_OVERLAY
LEFT_MLO LINES 5491 PIXELS_PER_LINE 2776 BITS_PER_PIXEL 16 RESOLUTION 42 NON_OVERLAY
RIGHT_CC LINES 4876 PIXELS_PER_LINE 2821 BITS_PER_PIXEL 16 RESOLUTION 42 NON_OVERLAY
RIGHT_MLO LINES 5266 PIXELS_PER_LINE 2896 BITS_PER_PIXEL 16 RESOLUTION 42 NON_OVERLAY