Digital Database for Screening Mammography

Volume: normal_03 Case: A-0344-1


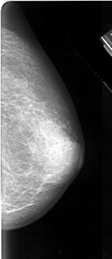
A_0344_1.LEFT_MLO

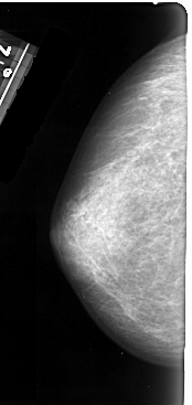
A_0344_1.RIGHT_MLO

A_0344_1.LEFT_CC

A_0344_1.RIGHT_CC

ics_version 1.0
filename A-0344-1
DATE_OF_STUDY 30 5 1991
PATIENT_AGE 75
FILM
FILM_TYPE REGULAR
DENSITY 3
DATE_DIGITIZED 20 9 1996
DIGITIZER DBA 21
SEQUENCE
LEFT_CC LINES 5491 PIXELS_PER_LINE 2596 BITS_PER_PIXEL 16 RESOLUTION 42 NON_OVERLAY
LEFT_MLO LINES 5476 PIXELS_PER_LINE 2686 BITS_PER_PIXEL 16 RESOLUTION 42 NON_OVERLAY
RIGHT_CC LINES 5461 PIXELS_PER_LINE 2356 BITS_PER_PIXEL 16 RESOLUTION 42 NON_OVERLAY
RIGHT_MLO LINES 5491 PIXELS_PER_LINE 2341 BITS_PER_PIXEL 16 RESOLUTION 42 NON_OVERLAY