Digital Database for Screening Mammography

Volume: normal_03 Case: A-0360-1


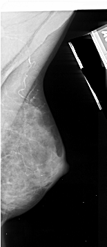
A_0360_1.LEFT_MLO

A_0360_1.RIGHT_MLO

A_0360_1.LEFT_CC

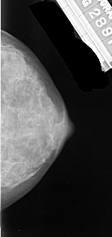
A_0360_1.RIGHT_CC

ics_version 1.0
filename A-0360-1
DATE_OF_STUDY 28 8 1991
PATIENT_AGE 53
FILM
FILM_TYPE REGULAR
DENSITY 4
DATE_DIGITIZED 26 9 1996
DIGITIZER DBA 21
SEQUENCE
LEFT_CC LINES 4306 PIXELS_PER_LINE 2071 BITS_PER_PIXEL 16 RESOLUTION 42 NON_OVERLAY
LEFT_MLO LINES 5221 PIXELS_PER_LINE 2371 BITS_PER_PIXEL 16 RESOLUTION 42 NON_OVERLAY
RIGHT_CC LINES 3991 PIXELS_PER_LINE 1891 BITS_PER_PIXEL 16 RESOLUTION 42 NON_OVERLAY
RIGHT_MLO LINES 5341 PIXELS_PER_LINE 2311 BITS_PER_PIXEL 16 RESOLUTION 42 NON_OVERLAY