Digital Database for Screening Mammography

Volume: normal_04 Case: A-0412-1


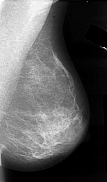
A_0412_1.LEFT_MLO

A_0412_1.RIGHT_MLO

A_0412_1.LEFT_CC

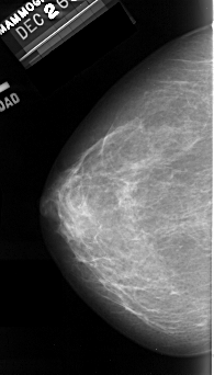
A_0412_1.RIGHT_CC

ics_version 1.0
filename A-0412-1
DATE_OF_STUDY 26 12 1991
PATIENT_AGE 49
FILM
FILM_TYPE REGULAR
DENSITY 2
DATE_DIGITIZED 28 10 1996
DIGITIZER DBA 21
SEQUENCE
LEFT_CC LINES 5116 PIXELS_PER_LINE 2911 BITS_PER_PIXEL 16 RESOLUTION 42 NON_OVERLAY
LEFT_MLO LINES 5491 PIXELS_PER_LINE 3121 BITS_PER_PIXEL 16 RESOLUTION 42 NON_OVERLAY
RIGHT_CC LINES 5206 PIXELS_PER_LINE 3181 BITS_PER_PIXEL 16 RESOLUTION 42 NON_OVERLAY
RIGHT_MLO LINES 5491 PIXELS_PER_LINE 3226 BITS_PER_PIXEL 16 RESOLUTION 42 NON_OVERLAY