Digital Database for Screening Mammography

Volume: normal_05 Case: A-0494-1


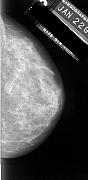
A_0494_1.LEFT_MLO

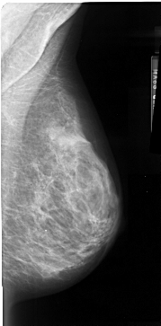
A_0494_1.RIGHT_MLO

A_0494_1.LEFT_CC

A_0494_1.RIGHT_CC

ics_version 1.0
filename A-0494-1
DATE_OF_STUDY 22 1 1992
PATIENT_AGE 60
FILM
FILM_TYPE REGULAR
DENSITY 4
DATE_DIGITIZED 26 11 1996
DIGITIZER DBA 21
SEQUENCE
LEFT_CC LINES 5176 PIXELS_PER_LINE 2671 BITS_PER_PIXEL 16 RESOLUTION 42 NON_OVERLAY
LEFT_MLO LINES 5491 PIXELS_PER_LINE 2731 BITS_PER_PIXEL 16 RESOLUTION 42 NON_OVERLAY
RIGHT_CC LINES 5056 PIXELS_PER_LINE 2491 BITS_PER_PIXEL 16 RESOLUTION 42 NON_OVERLAY
RIGHT_MLO LINES 5431 PIXELS_PER_LINE 2671 BITS_PER_PIXEL 16 RESOLUTION 42 NON_OVERLAY