Digital Database for Screening Mammography

Volume: normal_05 Case: A-0528-1


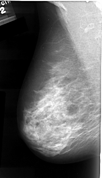
A_0528_1.LEFT_MLO

A_0528_1.RIGHT_MLO

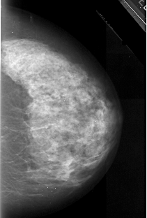
A_0528_1.LEFT_CC

A_0528_1.RIGHT_CC

ics_version 1.0
filename A-0528-1
DATE_OF_STUDY 4 2 1992
PATIENT_AGE 56
FILM
FILM_TYPE REGULAR
DENSITY 4
DATE_DIGITIZED 9 12 1996
DIGITIZER DBA 21
SEQUENCE
LEFT_CC LINES 4846 PIXELS_PER_LINE 2911 BITS_PER_PIXEL 16 RESOLUTION 42 NON_OVERLAY
LEFT_MLO LINES 5476 PIXELS_PER_LINE 3151 BITS_PER_PIXEL 16 RESOLUTION 42 NON_OVERLAY
RIGHT_CC LINES 4366 PIXELS_PER_LINE 2941 BITS_PER_PIXEL 16 RESOLUTION 42 NON_OVERLAY
RIGHT_MLO LINES 5071 PIXELS_PER_LINE 3136 BITS_PER_PIXEL 16 RESOLUTION 42 NON_OVERLAY