Digital Database for Screening Mammography

Volume: normal_06 Case: A-0580-1


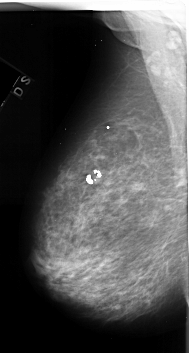
A_0580_1.LEFT_MLO

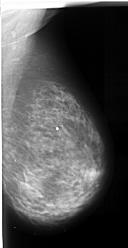
A_0580_1.RIGHT_MLO

A_0580_1.LEFT_CC

A_0580_1.RIGHT_CC

ics_version 1.0
filename A-0580-1
DATE_OF_STUDY 30 1 1992
PATIENT_AGE 71
FILM
FILM_TYPE REGULAR
DENSITY 3
DATE_DIGITIZED 31 12 1996
DIGITIZER DBA 21
SEQUENCE
LEFT_CC LINES 6226 PIXELS_PER_LINE 3616 BITS_PER_PIXEL 16 RESOLUTION 42 NON_OVERLAY
LEFT_MLO LINES 6691 PIXELS_PER_LINE 3586 BITS_PER_PIXEL 16 RESOLUTION 42 NON_OVERLAY
RIGHT_CC LINES 5896 PIXELS_PER_LINE 3616 BITS_PER_PIXEL 16 RESOLUTION 42 NON_OVERLAY
RIGHT_MLO LINES 6781 PIXELS_PER_LINE 3511 BITS_PER_PIXEL 16 RESOLUTION 42 NON_OVERLAY