Digital Database for Screening Mammography

Volume: normal_07 Case: D-4553-1


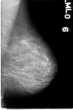
D_4553_1.LEFT_MLO

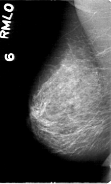
D_4553_1.RIGHT_MLO

D_4553_1.LEFT_CC

D_4553_1.RIGHT_CC

ics_version 1.0
filename D-4553-1
DATE_OF_STUDY 3 5 1995
PATIENT_AGE 46
FILM
FILM_TYPE REGULAR
DENSITY 3
DATE_DIGITIZED 31 3 1999
DIGITIZER HOWTEK 43.5
SEQUENCE
LEFT_CC LINES 5386 PIXELS_PER_LINE 3016 BITS_PER_PIXEL 12 RESOLUTION 43.5 NON_OVERLAY
LEFT_MLO LINES 5386 PIXELS_PER_LINE 3256 BITS_PER_PIXEL 12 RESOLUTION 43.5 NON_OVERLAY
RIGHT_CC LINES 5386 PIXELS_PER_LINE 3406 BITS_PER_PIXEL 12 RESOLUTION 43.5 NON_OVERLAY
RIGHT_MLO LINES 5386 PIXELS_PER_LINE 3571 BITS_PER_PIXEL 12 RESOLUTION 43.5 NON_OVERLAY