Digital Database for Screening Mammography

Volume: normal_09 Case: B-3609-1


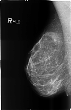
B_3609_1.RIGHT_MLO

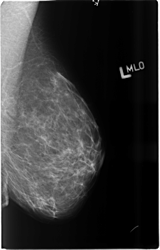
B_3609_1.LEFT_MLO

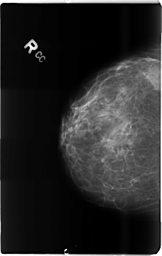
B_3609_1.RIGHT_CC

B_3609_1.LEFT_CC

ics_version 1.0
filename B-3609-1
DATE_OF_STUDY 9 12 94
PATIENT_AGE 41
FILM
FILM_TYPE REGULAR
DENSITY 2
DATE_DIGITIZED 14 7 1999
DIGITIZER LUMISYS LASER
SEQUENCE
LEFT_CC LINES 4624 PIXELS_PER_LINE 2992 BITS_PER_PIXEL 12 RESOLUTION 50 NON_OVERLAY
LEFT_MLO LINES 4616 PIXELS_PER_LINE 2968 BITS_PER_PIXEL 12 RESOLUTION 50 NON_OVERLAY
RIGHT_CC LINES 4696 PIXELS_PER_LINE 2968 BITS_PER_PIXEL 12 RESOLUTION 50 NON_OVERLAY
RIGHT_MLO LINES 4600 PIXELS_PER_LINE 2968 BITS_PER_PIXEL 12 RESOLUTION 50 NON_OVERLAY