Digital Database for Screening Mammography

Volume: normal_09 Case: B-3624-1


B_3624_1.RIGHT_MLO

B_3624_1.LEFT_MLO

B_3624_1.RIGHT_CC

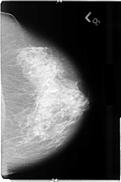
B_3624_1.LEFT_CC

ics_version 1.0
filename B-3624-1
DATE_OF_STUDY 6 5 94
PATIENT_AGE 70
FILM
FILM_TYPE REGULAR
DENSITY 3
DATE_DIGITIZED 14 7 1999
DIGITIZER LUMISYS LASER
SEQUENCE
LEFT_CC LINES 4744 PIXELS_PER_LINE 3144 BITS_PER_PIXEL 12 RESOLUTION 50 NON_OVERLAY
LEFT_MLO LINES 4696 PIXELS_PER_LINE 3096 BITS_PER_PIXEL 12 RESOLUTION 50 NON_OVERLAY
RIGHT_CC LINES 4696 PIXELS_PER_LINE 3104 BITS_PER_PIXEL 12 RESOLUTION 50 NON_OVERLAY
RIGHT_MLO LINES 4712 PIXELS_PER_LINE 3080 BITS_PER_PIXEL 12 RESOLUTION 50 NON_OVERLAY