Digital Database for Screening Mammography

Volume: normal_10 Case: B-3662-1


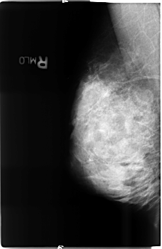
B_3662_1.RIGHT_MLO

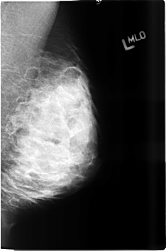
B_3662_1.LEFT_MLO

B_3662_1.RIGHT_CC

B_3662_1.LEFT_CC

ics_version 1.0
filename B-3662-1
DATE_OF_STUDY 7 4 1995
PATIENT_AGE 39
FILM
FILM_TYPE REGULAR
DENSITY 4
DATE_DIGITIZED 19 7 1999
DIGITIZER LUMISYS LASER
SEQUENCE
LEFT_CC LINES 4720 PIXELS_PER_LINE 3096 BITS_PER_PIXEL 12 RESOLUTION 50 NON_OVERLAY
LEFT_MLO LINES 4600 PIXELS_PER_LINE 3032 BITS_PER_PIXEL 12 RESOLUTION 50 NON_OVERLAY
RIGHT_CC LINES 4600 PIXELS_PER_LINE 3088 BITS_PER_PIXEL 12 RESOLUTION 50 NON_OVERLAY
RIGHT_MLO LINES 4648 PIXELS_PER_LINE 3032 BITS_PER_PIXEL 12 RESOLUTION 50 NON_OVERLAY