Digital Database for Screening Mammography

Volume: normal_10 Case: B-3675-1


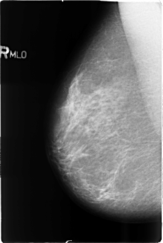
B_3675_1.RIGHT_MLO

B_3675_1.LEFT_MLO

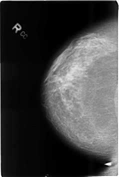
B_3675_1.RIGHT_CC

B_3675_1.LEFT_CC

ics_version 1.0
filename B-3675-1
DATE_OF_STUDY 26 6 1995
PATIENT_AGE 48
FILM
FILM_TYPE REGULAR
DENSITY 2
DATE_DIGITIZED 22 7 1999
DIGITIZER LUMISYS LASER
SEQUENCE
LEFT_CC LINES 4632 PIXELS_PER_LINE 3088 BITS_PER_PIXEL 12 RESOLUTION 50 NON_OVERLAY
LEFT_MLO LINES 4656 PIXELS_PER_LINE 3056 BITS_PER_PIXEL 12 RESOLUTION 50 NON_OVERLAY
RIGHT_CC LINES 4592 PIXELS_PER_LINE 3088 BITS_PER_PIXEL 12 RESOLUTION 50 NON_OVERLAY
RIGHT_MLO LINES 4592 PIXELS_PER_LINE 3072 BITS_PER_PIXEL 12 RESOLUTION 50 NON_OVERLAY