Digital Database for Screening Mammography

Volume: normal_10 Case: B-3679-1


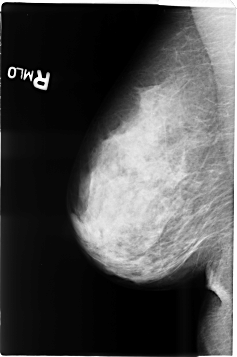
B_3679_1.RIGHT_MLO

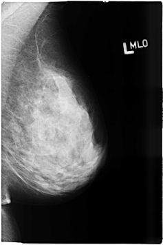
B_3679_1.LEFT_MLO

B_3679_1.RIGHT_CC

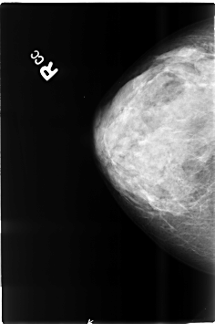
B_3679_1.LEFT_CC

ics_version 1.0
filename B-3679-1
DATE_OF_STUDY 2 2 1995
PATIENT_AGE 42
FILM
FILM_TYPE REGULAR
DENSITY 3
DATE_DIGITIZED 22 7 1999
DIGITIZER LUMISYS LASER
SEQUENCE
LEFT_CC LINES 4608 PIXELS_PER_LINE 3088 BITS_PER_PIXEL 12 RESOLUTION 50 NON_OVERLAY
LEFT_MLO LINES 4624 PIXELS_PER_LINE 3080 BITS_PER_PIXEL 12 RESOLUTION 50 NON_OVERLAY
RIGHT_CC LINES 4608 PIXELS_PER_LINE 3056 BITS_PER_PIXEL 12 RESOLUTION 50 NON_OVERLAY
RIGHT_MLO LINES 4640 PIXELS_PER_LINE 3072 BITS_PER_PIXEL 12 RESOLUTION 50 NON_OVERLAY