Digital Database for Screening Mammography

Volume: normal_11 Case: A-1968-1


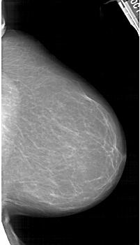
A_1968_1.LEFT_MLO

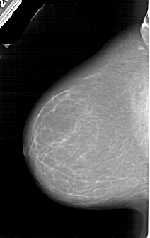
A_1968_1.RIGHT_MLO

A_1968_1.LEFT_CC

A_1968_1.RIGHT_CC

ics_version 1.0
filename A-1968-1
DATE_OF_STUDY 26 10 1994
PATIENT_AGE 79
FILM
FILM_TYPE REGULAR
DENSITY 1
DATE_DIGITIZED 7 7 1999
DIGITIZER HOWTEK 43.5
SEQUENCE
LEFT_CC LINES 6016 PIXELS_PER_LINE 3811 BITS_PER_PIXEL 12 RESOLUTION 43.5 NON_OVERLAY
LEFT_MLO LINES 6256 PIXELS_PER_LINE 3541 BITS_PER_PIXEL 12 RESOLUTION 43.5 NON_OVERLAY
RIGHT_CC LINES 6316 PIXELS_PER_LINE 3601 BITS_PER_PIXEL 12 RESOLUTION 43.5 NON_OVERLAY
RIGHT_MLO LINES 6346 PIXELS_PER_LINE 3691 BITS_PER_PIXEL 12 RESOLUTION 43.5 NON_OVERLAY