Digital Database for Screening Mammography

Volume: normal_11 Case: A-1971-1


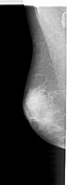
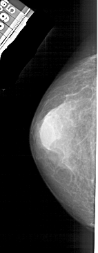
A_1971_1.LEFT_MLO

A_1971_1.RIGHT_MLO

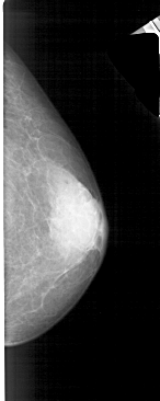
A_1971_1.LEFT_CC

A_1971_1.RIGHT_CC

ics_version 1.0
filename A-1971-1
DATE_OF_STUDY 25 9 1995
PATIENT_AGE 76
FILM
FILM_TYPE REGULAR
DENSITY 4
DATE_DIGITIZED 25 6 1999
DIGITIZER HOWTEK 43.5
SEQUENCE
LEFT_CC LINES 4741 PIXELS_PER_LINE 1846 BITS_PER_PIXEL 12 RESOLUTION 43.5 NON_OVERLAY
LEFT_MLO LINES 5146 PIXELS_PER_LINE 1876 BITS_PER_PIXEL 12 RESOLUTION 43.5 NON_OVERLAY
RIGHT_CC LINES 4756 PIXELS_PER_LINE 1891 BITS_PER_PIXEL 12 RESOLUTION 43.5 NON_OVERLAY
RIGHT_MLO LINES 5011 PIXELS_PER_LINE 1741 BITS_PER_PIXEL 12 RESOLUTION 43.5 NON_OVERLAY