Digital Database for Screening Mammography

Volume: normal_11 Case: A-1974-1


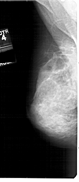
A_1974_1.LEFT_MLO

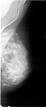
A_1974_1.RIGHT_MLO

A_1974_1.LEFT_CC

A_1974_1.RIGHT_CC

ics_version 1.0
filename A-1974-1
DATE_OF_STUDY 2 6 1994
PATIENT_AGE 65
FILM
FILM_TYPE REGULAR
DENSITY 4
DATE_DIGITIZED 24 6 1999
DIGITIZER HOWTEK 43.5
SEQUENCE
LEFT_CC LINES 4951 PIXELS_PER_LINE 2251 BITS_PER_PIXEL 12 RESOLUTION 43.5 NON_OVERLAY
LEFT_MLO LINES 5476 PIXELS_PER_LINE 2371 BITS_PER_PIXEL 12 RESOLUTION 43.5 NON_OVERLAY
RIGHT_CC LINES 4906 PIXELS_PER_LINE 2161 BITS_PER_PIXEL 12 RESOLUTION 43.5 NON_OVERLAY
RIGHT_MLO LINES 5371 PIXELS_PER_LINE 2311 BITS_PER_PIXEL 12 RESOLUTION 43.5 NON_OVERLAY