Digital Database for Screening Mammography

Volume: normal_11 Case: A-1977-1


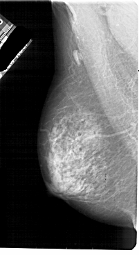
A_1977_1.LEFT_MLO

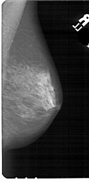
A_1977_1.RIGHT_MLO

A_1977_1.LEFT_CC

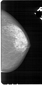
A_1977_1.RIGHT_CC

ics_version 1.0
filename A-1977-1
DATE_OF_STUDY 29 9 1995
PATIENT_AGE 76
FILM
FILM_TYPE REGULAR
DENSITY 3
DATE_DIGITIZED 25 6 1999
DIGITIZER HOWTEK 43.5
SEQUENCE
LEFT_CC LINES 5491 PIXELS_PER_LINE 2776 BITS_PER_PIXEL 12 RESOLUTION 43.5 NON_OVERLAY
LEFT_MLO LINES 5491 PIXELS_PER_LINE 3001 BITS_PER_PIXEL 12 RESOLUTION 43.5 NON_OVERLAY
RIGHT_CC LINES 5416 PIXELS_PER_LINE 2671 BITS_PER_PIXEL 12 RESOLUTION 43.5 NON_OVERLAY
RIGHT_MLO LINES 5491 PIXELS_PER_LINE 2701 BITS_PER_PIXEL 12 RESOLUTION 43.5 NON_OVERLAY