Digital Database for Screening Mammography

Volume: normal_11 Case: A-1989-1


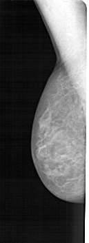
A_1989_1.LEFT_MLO

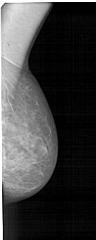
A_1989_1.RIGHT_MLO

A_1989_1.LEFT_CC

A_1989_1.RIGHT_CC

ics_version 1.0
filename A-1989-1
DATE_OF_STUDY 30 11 1993
PATIENT_AGE 83
FILM
FILM_TYPE REGULAR
DENSITY 2
DATE_DIGITIZED 25 6 1999
DIGITIZER HOWTEK 43.5
SEQUENCE
LEFT_CC LINES 4261 PIXELS_PER_LINE 2041 BITS_PER_PIXEL 12 RESOLUTION 43.5 NON_OVERLAY
LEFT_MLO LINES 4936 PIXELS_PER_LINE 1801 BITS_PER_PIXEL 12 RESOLUTION 43.5 NON_OVERLAY
RIGHT_CC LINES 4486 PIXELS_PER_LINE 2071 BITS_PER_PIXEL 12 RESOLUTION 43.5 NON_OVERLAY
RIGHT_MLO LINES 4891 PIXELS_PER_LINE 1951 BITS_PER_PIXEL 12 RESOLUTION 43.5 NON_OVERLAY