Digital Database for Screening Mammography

Volume: normal_11 Case: A-2015-1


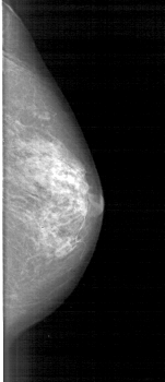
A_2015_1.LEFT_MLO

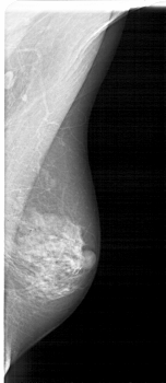
A_2015_1.RIGHT_MLO

A_2015_1.LEFT_CC

A_2015_1.RIGHT_CC

ics_version 1.0
filename A-2015-1
DATE_OF_STUDY 26 4 1993
PATIENT_AGE 71
FILM
FILM_TYPE REGULAR
DENSITY 3
DATE_DIGITIZED 6 8 1999
DIGITIZER HOWTEK 43.5
SEQUENCE
LEFT_CC LINES 4651 PIXELS_PER_LINE 2071 BITS_PER_PIXEL 12 RESOLUTION 43.5 NON_OVERLAY
LEFT_MLO LINES 5266 PIXELS_PER_LINE 2311 BITS_PER_PIXEL 12 RESOLUTION 43.5 NON_OVERLAY
RIGHT_CC LINES 4546 PIXELS_PER_LINE 1951 BITS_PER_PIXEL 12 RESOLUTION 43.5 NON_OVERLAY
RIGHT_MLO LINES 5236 PIXELS_PER_LINE 2266 BITS_PER_PIXEL 12 RESOLUTION 43.5 NON_OVERLAY