Digital Database for Screening Mammography

Volume: normal_12 Case: A-2034-1


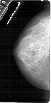
A_2034_1.LEFT_MLO

A_2034_1.RIGHT_MLO

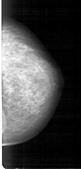
A_2034_1.LEFT_CC

A_2034_1.RIGHT_CC

ics_version 1.0
filename A-2034-1
DATE_OF_STUDY 11 11 1993
PATIENT_AGE 54
FILM
FILM_TYPE REGULAR
DENSITY 3
DATE_DIGITIZED 9 8 1999
DIGITIZER HOWTEK 43.5
SEQUENCE
LEFT_CC LINES 5386 PIXELS_PER_LINE 2686 BITS_PER_PIXEL 12 RESOLUTION 43.5 NON_OVERLAY
LEFT_MLO LINES 5491 PIXELS_PER_LINE 2926 BITS_PER_PIXEL 12 RESOLUTION 43.5 NON_OVERLAY
RIGHT_CC LINES 5041 PIXELS_PER_LINE 2401 BITS_PER_PIXEL 12 RESOLUTION 43.5 NON_OVERLAY
RIGHT_MLO LINES 5491 PIXELS_PER_LINE 2791 BITS_PER_PIXEL 12 RESOLUTION 43.5 NON_OVERLAY