Digital Database for Screening Mammography

Volume: normal_12 Case: A-2041-1


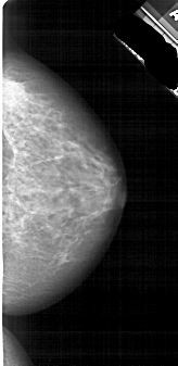
A_2041_1.LEFT_MLO

A_2041_1.RIGHT_MLO

A_2041_1.LEFT_CC

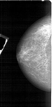
A_2041_1.RIGHT_CC

ics_version 1.0
filename A-2041-1
DATE_OF_STUDY 16 11 1994
PATIENT_AGE 62
FILM
FILM_TYPE REGULAR
DENSITY 4
DATE_DIGITIZED 26 8 1999
DIGITIZER HOWTEK 43.5
SEQUENCE
LEFT_CC LINES 5251 PIXELS_PER_LINE 2536 BITS_PER_PIXEL 12 RESOLUTION 43.5 NON_OVERLAY
LEFT_MLO LINES 5491 PIXELS_PER_LINE 2671 BITS_PER_PIXEL 12 RESOLUTION 43.5 NON_OVERLAY
RIGHT_CC LINES 5041 PIXELS_PER_LINE 2446 BITS_PER_PIXEL 12 RESOLUTION 43.5 NON_OVERLAY
RIGHT_MLO LINES 5491 PIXELS_PER_LINE 2596 BITS_PER_PIXEL 12 RESOLUTION 43.5 NON_OVERLAY