Digital Database for Screening Mammography

Volume: benign_without_callback_01 Case: B-3191-1


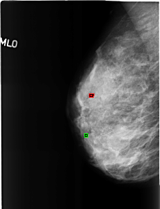
B_3191_1.RIGHT_MLO

B_3191_1.LEFT_MLO

B_3191_1.RIGHT_CC

B_3191_1.LEFT_CC

ics_version 1.0
filename B-3191-1
DATE_OF_STUDY 4 6 1998
PATIENT_AGE 70
FILM
FILM_TYPE REGULAR
DENSITY 3
DATE_DIGITIZED 16 7 1998
DIGITIZER LUMISYS LASER
SEQUENCE
LEFT_CC LINES 4560 PIXELS_PER_LINE 3040 BITS_PER_PIXEL 12 RESOLUTION 50 NON_OVERLAY
LEFT_MLO LINES 4552 PIXELS_PER_LINE 3032 BITS_PER_PIXEL 12 RESOLUTION 50 NON_OVERLAY
RIGHT_CC LINES 4584 PIXELS_PER_LINE 3056 BITS_PER_PIXEL 12 RESOLUTION 50 OVERLAY
RIGHT_MLO LINES 3944 PIXELS_PER_LINE 3032 BITS_PER_PIXEL 12 RESOLUTION 50 OVERLAY

FILE: B_3191_1.RIGHT_MLO.OVERLAY

TOTAL_ABNORMALITIES 2
ABNORMALITY 1
LESION_TYPE CALCIFICATION TYPE ROUND_AND_REGULAR DISTRIBUTION N/A
ASSESSMENT 2
SUBTLETY 5
PATHOLOGY BENIGN_WITHOUT_CALLBACK
TOTAL_OUTLINES 1 
BOUNDARY
ABNORMALITY 2
LESION_TYPE CALCIFICATION TYPE ROUND_AND_REGULAR DISTRIBUTION N/A
ASSESSMENT 2
SUBTLETY 5
PATHOLOGY BENIGN_WITHOUT_CALLBACK
TOTAL_OUTLINES 1 
BOUNDARY
FILE: B_3191_1.RIGHT_CC.OVERLAY

TOTAL_ABNORMALITIES 2
ABNORMALITY 1
LESION_TYPE CALCIFICATION TYPE ROUND_AND_REGULAR DISTRIBUTION N/A
ASSESSMENT 2
SUBTLETY 5
PATHOLOGY BENIGN_WITHOUT_CALLBACK
TOTAL_OUTLINES 1 
BOUNDARY
ABNORMALITY 2
LESION_TYPE CALCIFICATION TYPE ROUND_AND_REGULAR DISTRIBUTION N/A
ASSESSMENT 2
SUBTLETY 5
PATHOLOGY BENIGN_WITHOUT_CALLBACK
TOTAL_OUTLINES 1 
BOUNDARY