Digital Database for Screening Mammography

Volume: benign_without_callback_01 Case: B-3207-1


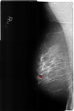
B_3207_1.RIGHT_MLO

B_3207_1.LEFT_MLO

B_3207_1.RIGHT_CC

B_3207_1.LEFT_CC

ics_version 1.0
filename B-3207-1
DATE_OF_STUDY 7 7 1998
PATIENT_AGE 50
FILM
FILM_TYPE REGULAR
DENSITY 2
DATE_DIGITIZED 13 7 1998
DIGITIZER LUMISYS LASER
SEQUENCE
LEFT_CC LINES 4608 PIXELS_PER_LINE 3088 BITS_PER_PIXEL 12 RESOLUTION 50 NON_OVERLAY
LEFT_MLO LINES 4512 PIXELS_PER_LINE 3072 BITS_PER_PIXEL 12 RESOLUTION 50 NON_OVERLAY
RIGHT_CC LINES 4616 PIXELS_PER_LINE 3128 BITS_PER_PIXEL 12 RESOLUTION 50 OVERLAY
RIGHT_MLO LINES 4696 PIXELS_PER_LINE 3136 BITS_PER_PIXEL 12 RESOLUTION 50 OVERLAY

FILE: B_3207_1.RIGHT_MLO.OVERLAY

TOTAL_ABNORMALITIES 1
ABNORMALITY 1
LESION_TYPE CALCIFICATION TYPE LUCENT_CENTER DISTRIBUTION N/A
ASSESSMENT 2
SUBTLETY 5
PATHOLOGY BENIGN_WITHOUT_CALLBACK
TOTAL_OUTLINES 1 
BOUNDARY
FILE: B_3207_1.RIGHT_CC.OVERLAY

TOTAL_ABNORMALITIES 1
ABNORMALITY 1
LESION_TYPE CALCIFICATION TYPE LUCENT_CENTER DISTRIBUTION N/A
ASSESSMENT 2
SUBTLETY 5
PATHOLOGY BENIGN_WITHOUT_CALLBACK
TOTAL_OUTLINES 1 
BOUNDARY