Digital Database for Screening Mammography

Volume: benign_without_callback_01 Case: B-3230-1


B_3230_1.RIGHT_MLO

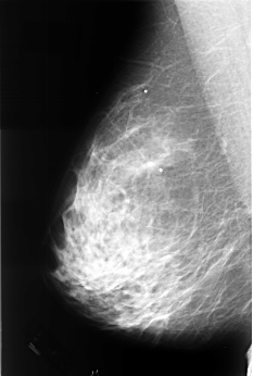
B_3230_1.LEFT_MLO

B_3230_1.RIGHT_CC

B_3230_1.LEFT_CC

ics_version 1.0
filename B-3230-1
DATE_OF_STUDY 11 8 1998
PATIENT_AGE 53
FILM
FILM_TYPE REGULAR
DENSITY 3
DATE_DIGITIZED 5 10 1998
DIGITIZER LUMISYS LASER
SEQUENCE
LEFT_CC LINES 4480 PIXELS_PER_LINE 3032 BITS_PER_PIXEL 12 RESOLUTION 50 OVERLAY
LEFT_MLO LINES 4496 PIXELS_PER_LINE 3040 BITS_PER_PIXEL 12 RESOLUTION 50 OVERLAY
RIGHT_CC LINES 4576 PIXELS_PER_LINE 3016 BITS_PER_PIXEL 12 RESOLUTION 50 NON_OVERLAY
RIGHT_MLO LINES 4488 PIXELS_PER_LINE 3024 BITS_PER_PIXEL 12 RESOLUTION 50 NON_OVERLAY

FILE: B_3230_1.LEFT_MLO.OVERLAY

TOTAL_ABNORMALITIES 1
ABNORMALITY 1
LESION_TYPE MASS SHAPE FOCAL_ASYMMETRIC_DENSITY MARGINS N/A
ASSESSMENT 2
SUBTLETY 4
PATHOLOGY BENIGN_WITHOUT_CALLBACK
TOTAL_OUTLINES 1 
BOUNDARY
FILE: B_3230_1.LEFT_CC.OVERLAY

TOTAL_ABNORMALITIES 1
ABNORMALITY 1
LESION_TYPE MASS SHAPE FOCAL_ASYMMETRIC_DENSITY MARGINS N/A
ASSESSMENT 2
SUBTLETY 4
PATHOLOGY BENIGN_WITHOUT_CALLBACK
TOTAL_OUTLINES 1 
BOUNDARY